| Jonas M et al. | ||||||||||||||||||||||||||||||||||||||||||||||||||||
|---|---|---|---|---|---|---|---|---|---|---|---|---|---|---|---|---|---|---|---|---|---|---|---|---|---|---|---|---|---|---|---|---|---|---|---|---|---|---|---|---|---|---|---|---|---|---|---|---|---|---|---|---|
|
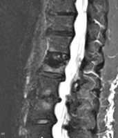
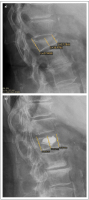
Möglichkeiten der direkten Zementinjektionstechnik bei Wirbelkörperfrakturen - Drei Fallbeschreibungen der Radiofrequenz-Kyphoplastie (RFK) mit ultrahochvikösem Knochenzement
Journal für Mineralstoffwechsel & Muskuloskelettale Erkrankungen 2012; 19 (3): 124-130 Volltext (PDF) Summary Praxisrelevanz Abbildungen
|
||||||||||||||||||||||||||||||||||||||||||||||||||||
