Verlag für Medizin und Wirtschaft
Artikel
Bilder
Volltext
Mobile Version
A-
|
A
|
A+
Werbung
Abo
Bestellung Jahresabonnement (Print/elektronisch)
Bestellung kostenloses e-Journal-Abo
Mediadaten
Journale
News
Datenbanken
Suche Medizinische Publikationen
Suche Abbildungen und Grafiken
Medizinprodukte - Labortechnik
Antidotarium (Stand 2012)
Phytokodex (Stand 2012)
Fortbildung
Bücher
Fachbücher
Patientenliteratur
Impressum
Offenlegung
Kontakt
Disclaimers & Copyright
Allgemeine Geschäftsbedingungen
Datenschutzerklärung
Sitemap
Abbildungen und Graphiken
Löffler-Ragg J et al.
Eosinophilie im Blut und assoziierte Lungenerkrankungen
Journal für Pneumologie 2013; 1 (1)
: 25-31
Volltext (PDF)
Summary
Abbildungen
Abbildung
Vollbildansicht
Eosinophilie
Abbildung 1: Therapie-Response bei chronischer HE mit Lungensymptomatik nach Diagnose einer FIP1L1-PDGFRA-positiven hämatologischen Erkrankung und Therapiebeginn mit 100 mg Imatinib (Glivec®) (siehe Kasuistik 1).
Keywords:
Diagramm
,
Eosinophilie
,
Hypereosinophilie
,
Therapie
Vollbildansicht
Eosinophilie
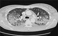
Abbildung 2: Ausgedehnte beidseitige Infiltrate und Milchglasareale bei einer Salazopyrin-getriggerten akuten eosinophilen Pneumonie (siehe Kasuistik 2).
Keywords:
CT
,
eosinophile Pneumonie
,
Eosinophilie
,
Thorax
Vollbildansicht
Eosinophilie
Abbildung 3: Typische periphere Infiltrate einer Patientin mit einer eosinophilen Lungenerkrankung (Churg-Strauss-Syndrom) (siehe Kasuistik 3).
Keywords:
CT
,
eosinophile Lungenerkrankung
,
Eosinophilie
,
Thorax
copyright © 2000–2026
Krause & Pachernegg GmbH
|
Sitemap
|
Datenschutz
|
Impressum
Werbung