Krause und Pachernegg
Verlag für Medizin und Wirtschaft
Artikel   Bilder   Volltext

Mobile Version
A-  |   A  |   A+
Werbung
 
Abbildungen und Graphiken
Husmann M  
Aortenaneurysma und -dissektion: Pathophysiologie, Epidemiologie und Diagnostik

Zeitschrift für Gefäßmedizin 2015; 12 (2): 4-8

Volltext (PDF)    Summary    Praxisrelevanz    Abbildungen   


Abbildung
 
Aortenaneurysma
Abbildung 1: Juxtarenales, teilthrombosiertes abdominelles Aortenaneurysma in axialer (oben links), sagittaler (unten links) und rekonstruierter 3D-Darstellung (rechts, mit fehlender Darstellung des Wandthrombus).


Keywords: abdominelles AortenaneurysmaCT
 
 
Aorta
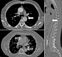
Abbildung 2: Darstellung der thorakalen Aorta in axialer Schichtung mit Typ-B-Dissektion (nur deszendierende Aorta, oben links), mit Dissektion der aszendierenden und deszendierenden Aorta (Typ-A-Dissektion, unten links) sowie sagittale Darstellung des Verlaufs der Dissektionsmembran der Typ-A-Dissektion (rechts).


Keywords: AortaCT
 
 
 
copyright © 2000–2026 Krause & Pachernegg GmbH | Sitemap | Datenschutz | Impressum
 
Werbung