Krause und Pachernegg
Verlag für Medizin und Wirtschaft
Artikel   Bilder   Volltext

Mobile Version
A-  |   A  |   A+
Werbung
 
Abbildungen und Graphiken
Scheidl S  
Mit Inhalation von Zigarettenrauch assoziierte interstitielle Lungenerkrankungen

Journal für Pneumologie 2015; 3 (1): 4-10

Volltext (PDF)    Summary    Abbildungen   


Abbildung
 
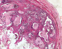
Respiratorische Bronchiolitis
Abbildung 1: Mikroskopisches Erscheinungsbild von RB mit pigmentierten Makrophagen, die eine respiratorische Bronchiole ausfüllen und in die umgebenden Lufträume austreten. Hämatoxylin- und Eosin-Färbung, Vergrößerung x 48.


Keywords: Histologisches PräparatRespiratorische Bronchiolitis
 
 
Trommelschlägelfinger
Abbildung 2: Trommelschlägelfinger wurden selten bei RB-ILD berichtet, sind aber häufig mit DIP, Tumoren und IPF assoziiert


Keywords: FotoRB-ILDRespiratory bronchiolitis-associated interstitial lung diseaseTrommelschlägelfinger
 
 
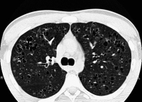
Pulmonale Langerhanszell-Histiozytose
Abbildung 3: Typisches HR-CT-Bild einer späten PLCH


Keywords: CTPLCHPulmonale Langerhanszell-Histiozytose
 
 
 
copyright © 2000–2026 Krause & Pachernegg GmbH | Sitemap | Datenschutz | Impressum
 
Werbung