Krause und Pachernegg
Verlag für Medizin und Wirtschaft
Artikel   Bilder   Volltext

Mobile Version
A-  |   A  |   A+
Werbung
 
Abbildungen und Graphiken
Olejniczak K  
Hypertrophe pulmonale Osteoarthropathie (Pierre-Marie-Bamberger-Syndrom) – Fallbericht

Tumorboard 2016; 5 (1): 6-8

Volltext (PDF)    Summary    Abbildungen   


Abbildung
 
Hypertrophe pulmonale Osteoarthropathie
Abbildung 1: Ganzkörperszintigraphie nach Injektion von 500 MBq Tc99m-DPD aus dorsaler und lateraler Projektion. Periostal und kortikal entlang den Femora und Tibiae sowie im Bereich des Gesichtsschädels, der Scapulae und Claviculae zeigen sich pathologisch erhöhte Knochenstoffwechselaktivitäten.


Keywords: erhöhte KnochenstoffwechselaktivitätOnkologieSzintigraphie
 
 
Hypertrophe pulmonale Osteoarthropathie
Abbildung 2: HR-CT-Thorax mit Verdacht auf primäres Bronchialkarzinom im Bereich des rechten Oberlappens dorsobasal im Segment II mit 3,2 x 2,7 cm.


Keywords: BronchialkarzinomCTOnkologieThorax
 
 
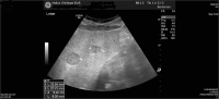
H
Abbildung 3: Leber mit hypodensen Läsionen, die größte im Segment VI bis 3,7 cm im Durchmesser.


Keywords: hypodense LäsionLeberOnkologieSonographie
 
 
 
copyright © 2000–2026 Krause & Pachernegg GmbH | Sitemap | Datenschutz | Impressum
 
Werbung