| Brezinka C | ||||||||||||||||||||||||||||||||||
|---|---|---|---|---|---|---|---|---|---|---|---|---|---|---|---|---|---|---|---|---|---|---|---|---|---|---|---|---|---|---|---|---|---|---|
|
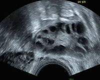
Tipps & Tricks im Gyn-Ultraschall: Wann ist PCO wirklich PCO?
Journal für Gynäkologische Endokrinologie 2017; 11 (1) (Ausgabe für Österreich): 26-28 Journal für Gynäkologische Endokrinologie 2017; 11 (1) (Ausgabe für Schweiz): 28-30 Volltext (PDF) Abbildungen
|
||||||||||||||||||||||||||||||||||
