Krause und Pachernegg
Verlag für Medizin und Wirtschaft
Artikel   Bilder   Volltext

Mobile Version
A-  |   A  |   A+
Werbung
 
Abbildungen und Graphiken
 
12. Sailersymposium, 22.-23. Juni 2017, Graz - Extended Abstracts

Zeitschrift für Gefäßmedizin 2017; 14 (2): 18-22

Volltext (PDF)    Abbildungen   


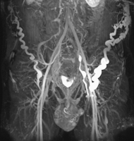
Abbildung
 
MR-Phlebographie
Abbildung 1: MR-Phlebographie eines 25-jährigen Patienten mit schwerem postthrombotischen Syndrom und Obstruktion der infrarenalen V. cava sowie Beckenvenenstrombahn bds. Der venöse Abstrom erfolgt über zahlreiche Kollateralvenen der Bauchwand bzw. des Beckens.


Keywords: BeckenGefäßmedizinMR-Phlebographie
 
 
Phlebographie
Abbildung 2: Aszendierende Phlebographie des Patienten mit angiographischem Nachweis der venösen Obstruktion der Beckenstrombahn bds.; ausgeprägter Kollateralkreislauf.


Keywords: BeckenGefäßmedizinPhlebographie
 
 
Angiographie - Stent
Abbildung 3: Angiographie nach erfolgter Stentimplantation im Bereich der Beckenetage bds. sowie der infrarenalen V. cava. Die Kollateralvenen kommen bei suffizientem Abstrom über die wiedereröffneten Beckenvenen nicht mehr zur Darstellung


Keywords: AngiographieBeckenGefäßmedizinStent
 
 
 
copyright © 2000–2026 Krause & Pachernegg GmbH | Sitemap | Datenschutz | Impressum
 
Werbung