Verlag für Medizin und Wirtschaft
Artikel
Bilder
Volltext
Mobile Version
A-
|
A
|
A+
Werbung
Abo
Bestellung Jahresabonnement (Print/elektronisch)
Bestellung kostenloses e-Journal-Abo
Mediadaten
Journale
News
Datenbanken
Suche Medizinische Publikationen
Suche Abbildungen und Grafiken
Medizinprodukte - Labortechnik
Antidotarium (Stand 2012)
Phytokodex (Stand 2012)
Endoskopie in Österreich (Stand 2010)
Kardiologie in Österreich (Stand 2006)
Osteologie in Österreich (Stand 2016)
Fortbildung
Bücher
Fachbücher
Patientenliteratur
Impressum
Offenlegung
Kontakt
Disclaimers & Copyright
Allgemeine Geschäftsbedingungen
Datenschutzerklärung
Sitemap
Abbildungen und Graphiken
Zerweck C
Armvenenthrombose – Diagnostik und Therapie // Thrombosis of upper extremity – Diagnostics and Therapy
Zeitschrift für Gefäßmedizin 2017; 14 (4)
: 10-15
Volltext (PDF)
Summary
Praxisrelevanz
Abbildungen
Abbildung
Vollbildansicht
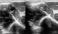
Kompressionssonographie
Abbildung 1: Kompressionssonographie: Armvene mit vollständig kollabierender Vena brachialis (rechts).
Keywords:
Gefäßmedizin
,
Kompressionssonographie
,
Ultraschall
,
Vena brachialis
Vollbildansicht
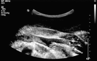
Thrombus - Vena subclavia
Abbildung 2: Thrombus in der Vena subclavia, Längsschnitt.
Keywords:
Gefäßmedizin
,
Längsschnitt
,
Sonographie
,
Thrombus
,
Ultraschall
,
Vena subclavia
Vollbildansicht
Thrombus - Vena subclavia
Abbildung 3: Thrombus in der Vena subclavia, Querschnitt.
Keywords:
Gefäßmedizin
,
Querschnitt
,
Sonographie
,
Thrombus
,
Ultraschall
,
Vena subclavia
Vollbildansicht
Präinterventionelle Angiographie
Abbildung 4: Verschluss Vena subclavia und axillaris in der präinterventionellen Angiographie
Keywords:
Angiographie
,
Gefäßmedizin
,
Vena axillaris
,
Vena subclavia
,
Verschluss
Vollbildansicht
Intravasale Bride
Abbildung 5a-b: Intravasale Bride in der Vena jugularis interna nach ZVK-Anlage vor 11 Jahren. (a): Längsschnitt, (b): Querschnitt
Keywords:
Gefäßmedizin
,
Intravasale Bride
,
Sonographie
,
Ultraschall
,
Vena jugularis interna
copyright © 2000–2025
Krause & Pachernegg GmbH
|
Sitemap
|
Datenschutz
|
Impressum
Werbung