Verlag für Medizin und Wirtschaft
Artikel
Bilder
Volltext
Mobile Version
A-
|
A
|
A+
Werbung
Abo
Bestellung Jahresabonnement (Print/elektronisch)
Bestellung kostenloses e-Journal-Abo
Mediadaten
Journale
News
Datenbanken
Suche Medizinische Publikationen
Suche Abbildungen und Grafiken
Medizinprodukte - Labortechnik
Antidotarium (Stand 2012)
Phytokodex (Stand 2012)
Fortbildung
Bücher
Fachbücher
Patientenliteratur
Impressum
Offenlegung
Kontakt
Disclaimers & Copyright
Allgemeine Geschäftsbedingungen
Datenschutzerklärung
Sitemap
Abbildungen und Graphiken
Valipour A, Ambrus CV
Fallquiz
Journal für Pneumologie 2025; 13 (1)
: 30-33
Volltext (PDF)
Abbildungen
Abbildung
Vollbildansicht
EKG
Abbildung 1: EKG
Keywords:
Aktinomykose
,
Diagnose
,
EKG
,
Pneumologie
Vollbildansicht
Laborwerte
Abbildung 2: Labor
Keywords:
Aktinomykose
,
Diagnose
,
Laborwerte
,
Pneumologie
Vollbildansicht
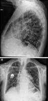
Thorax-Röntgen
Abbildung 3: Thorax-Röntgen
Keywords:
Aktinomykose
,
Diagnose
,
Pneumologie
,
Throax-Röntgen
Vollbildansicht
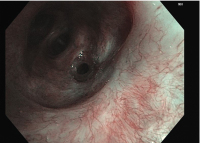
Bronchoskopie
Abbildung 4: Bronchoskopie
Keywords:
Aktinomykose
,
Bronchoskopie
,
Diagnose
,
Pneumologie
copyright © 2000–2026
Krause & Pachernegg GmbH
|
Sitemap
|
Datenschutz
|
Impressum
Werbung