Verlag für Medizin und Wirtschaft
Artikel
Bilder
Volltext
Mobile Version
A-
|
A
|
A+
Werbung
Abo
Bestellung Jahresabonnement (Print/elektronisch)
Bestellung kostenloses e-Journal-Abo
Mediadaten
Journale
News
Datenbanken
Suche Medizinische Publikationen
Suche Abbildungen und Grafiken
Medizinprodukte - Labortechnik
Antidotarium (Stand 2012)
Phytokodex (Stand 2012)
Fortbildung
Bücher
Fachbücher
Patientenliteratur
Impressum
Offenlegung
Kontakt
Disclaimers & Copyright
Allgemeine Geschäftsbedingungen
Datenschutzerklärung
Sitemap
Abbildungen und Graphiken
Gschwendtner M et al.
Vertebroplastie – eine neue Therapieform zur Schmerzbehandlung von Wirbelkörperfrakturen
Journal für Mineralstoffwechsel & Muskuloskelettale Erkrankungen 2003; 10 (4)
: 13-16
Volltext (PDF)
Summary
Abbildungen
Abbildung
Vollbildansicht
Vertebroplastie - Wirbelkörperpunktion
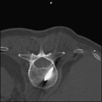
Abbildung 1: Transpedikulärer Punktionsweg
Keywords:
Lendenwirbelsäule
,
Mineralstoffwechsel
,
Röntgenbild
,
transpedikulär
,
Wirbelkörperpunktion
Vollbildansicht
Vertebroplastie - Wirbelkörperpunktion
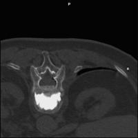
Abbildung 2: Interkostovertebraler Zugangsweg.
Keywords:
Brustwirbelsäule
,
interkostovertebral
,
Mineralstoffwechsel
,
Röntgenbild
,
Wirbelkörperpunktion
Vollbildansicht
Vertebroplastie - Wirbelkörperpunktion
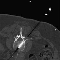
Abbildung 3: Posterolateraler Zugangsweg.
Keywords:
Lendenwirbelsäule
,
Mineralstoffwechsel
,
posterolateral
,
Röntgenbild
,
Wirbelkörperpunktion
Vollbildansicht
Vertebroplastie - Zementpistole
Abbildung 4: Zementpistole nach Gangi [6] mit Druckentlastungshebel und großem Luer-Lock-Anschluß.
Keywords:
Foto
,
Mineralstoffwechsel
,
Wirbelkörperpunktion
,
Zementpistole
Vollbildansicht
Vertebroplastie - Mehretagenbehandlung
Abbildung 5: Mehretagenbehandlung von 4 frakturierten Wirbelkörpern in einer Sitzung.
Keywords:
Foto
,
Mehretagenbehandlung
,
Mineralstoffwechsel
,
Wirbelkörperfraktur
Vollbildansicht
Vertebroplastie
Abbildung 6: Zustand nach Vertebroplastie des 1. LWK einer 79jährigen Patientin (VAS-Score: prä 8, post 1).
Keywords:
Lendenwirbelsäule
,
Mineralstoffwechsel
,
Röntgenbild
,
VAS-Score
,
Vertebroplastie
Vollbildansicht
Vertebroplastie
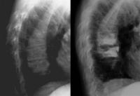
Abbildung 7: Frische Frakturen des 9. und 10. BWK vor und nach Vertebroplastie (VAS prä 8, post 0).
Keywords:
Brustwirbelsäule
,
Mineralstoffwechsel
,
Röntgenbild
,
VAS-Score
,
Vertebroplastie
copyright © 2000–2026
Krause & Pachernegg GmbH
|
Sitemap
|
Datenschutz
|
Impressum
Werbung