Verlag für Medizin und Wirtschaft
Artikel
Bilder
Volltext
Mobile Version
A-
|
A
|
A+
Werbung
Abo
Bestellung Jahresabonnement (Print/elektronisch)
Bestellung kostenloses e-Journal-Abo
Mediadaten
Journale
News
Datenbanken
Suche Medizinische Publikationen
Suche Abbildungen und Grafiken
Medizinprodukte - Labortechnik
Antidotarium (Stand 2012)
Phytokodex (Stand 2012)
Fortbildung
Bücher
Fachbücher
Patientenliteratur
Impressum
Offenlegung
Kontakt
Disclaimers & Copyright
Allgemeine Geschäftsbedingungen
Datenschutzerklärung
Sitemap
Abbildungen und Graphiken
Rintelen B, Leeb BF
Kristallarthropathie
Journal für Mineralstoffwechsel & Muskuloskelettale Erkrankungen 2003; 10 (4)
: 25-26
Volltext (PDF)
Summary
Abbildungen
Abbildung
Vollbildansicht
Kristallarthropathie - Tophöse Gicht
Abbildung 1: Tophöse Gicht – Schub.
Keywords:
Fallbericht
,
Foto
,
Kristallarthropathie
,
Mineralstoffwechsel
,
tophöse Gicht
Vollbildansicht
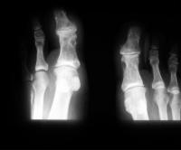
Kristallarthropathie - Tophöse Gicht
Abbildung 2: Tophöse Gicht – Röntgen.
Keywords:
Fallbericht
,
Kristallarthropathie
,
Mineralstoffwechsel
,
Röntgenbild
,
tophöse Gicht
copyright © 2000–2026
Krause & Pachernegg GmbH
|
Sitemap
|
Datenschutz
|
Impressum
Werbung