Verlag für Medizin und Wirtschaft
Artikel
Bilder
Volltext
Mobile Version
A-
|
A
|
A+
Werbung
Abo
Bestellung Jahresabonnement (Print/elektronisch)
Bestellung kostenloses e-Journal-Abo
Mediadaten
Journale
News
Datenbanken
Suche Medizinische Publikationen
Suche Abbildungen und Grafiken
Medizinprodukte - Labortechnik
Antidotarium (Stand 2012)
Phytokodex (Stand 2012)
Fortbildung
Bücher
Fachbücher
Patientenliteratur
Impressum
Offenlegung
Kontakt
Disclaimers & Copyright
Allgemeine Geschäftsbedingungen
Datenschutzerklärung
Sitemap
Abbildungen und Graphiken
Schima W, Grünberger T
Aktuelle Bilder: Echinokokkus der Leber
Journal für Gastroenterologische und Hepatologische Erkrankungen 2004; 2 (1)
: 41
Volltext (PDF)
Abbildungen
Abbildung
Vollbildansicht
Echinokokkus - Leber
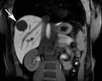
Abbildung 1
Keywords:
Echinococcus granulosus
,
Hepatologie
,
Leber
,
Magnetresonanztomographie
Vollbildansicht
Echinokokkus - Leber
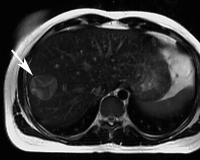
Abbildung 2
Keywords:
Echinococcus granulosus
,
Hepatologie
,
Leber
,
Magnetresonanztomographie
Vollbildansicht
Echinokokkus - Leber
Abbildung 3
Keywords:
Echinococcus granulosus
,
Foto
,
Hepatologie
,
Leber
copyright © 2000–2026
Krause & Pachernegg GmbH
|
Sitemap
|
Datenschutz
|
Impressum
Werbung