Krause und Pachernegg
Verlag für Medizin und Wirtschaft
Artikel   Bilder   Volltext

Mobile Version
A-  |   A  |   A+
Werbung
 
Abbildungen und Graphiken
Schenk P, Müller C  
Das Hepatopulmonale Syndrom

Journal für Gastroenterologische und Hepatologische Erkrankungen 2004; 2 (3): 38-46

Volltext (PDF)    Summary    Abbildungen   


Abbildung
 
Diffusion - Perfusion - Impairment
Abbildung 1: "Diffusion-Perfusion-Impairment": Schematische Darstellung des Pathomechanismus für die Hypoxämie beim HPS. O2-Moleküle von den angrenzenden Alveolen können nicht in das Zentrum der extrem dilatierten Kapillaren diffundieren, um das Hämoglobin in den Erythrozyten zu oxygenieren. Dies kann durch das Einatmen von 100 % O2 über eine Gesichtsmaske überwunden werden.


Keywords: AlveoleHepatologieHypoxämieSchema
 
 
Plasma-Endothelin-1
Abbildung 2: Plasma-Endothelin-1- (ET-1-) Spiegel (peripher venös) bei Leberzirrhose-Patienten mit und ohne HPS, zusätzlich ist der Normwert angegeben (Daten aus [31]).


Keywords: DiagrammendothelinHepatologieLeberzirrhoseplasma
 
 
Hepatopulmonales Syndrom - Fallbericht
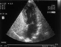
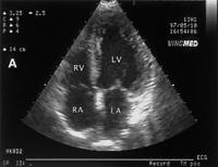
Abbildung 3a: Transthorakale Kontrast-Echokardiographie (apikaler 4-Kammer-Blick) mit dem rechten Vorhof (RA), rechten Ventrikel (RV), linken Vorhof (LA) und linken Ventrikel (LV) eines Patienten mit HPS. (A): Vor der Applikation des Kontrastmittels (geschüttelte Kochsalz-Lösung); (B): Passage der Microbubbles durch den rechten Vorhof und rechten Ventrikel; (C): Sichtbarwerden der Microbubbles im linken Vorhof und linken Ventrikel, 6 Herzschläge nach der Passage durch den rechten Vorhof/rechten Ventrikel.


Keywords: EchokardiographieHepatologieHepatopulmonales SyndromHPS
 
 
Hepatopulmonales Syndrom - Fallbericht
Abbildung 3b: Transthorakale Kontrast-Echokardiographie (apikaler 4-Kammer-Blick) mit dem rechten Vorhof (RA), rechten Ventrikel (RV), linken Vorhof (LA) und linken Ventrikel (LV) eines Patienten mit HPS. (A): Vor der Applikation des Kontrastmittels (geschüttelte Kochsalz-Lösung); (B): Passage der Microbubbles durch den rechten Vorhof und rechten Ventrikel; (C): Sichtbarwerden der Microbubbles im linken Vorhof und linken Ventrikel, 6 Herzschläge nach der Passage durch den rechten Vorhof/rechten Ventrikel.


Keywords: EchokardiographieHepatologieHepatopulmonales SyndromHPS
 
 
Hepatopulmonales Syndrom - Fallbericht
Abbildung 3c: Transthorakale Kontrast-Echokardiographie (apikaler 4-Kammer-Blick) mit dem rechten Vorhof (RA), rechten Ventrikel (RV), linken Vorhof (LA) und linken Ventrikel (LV) eines Patienten mit HPS. (A): Vor der Applikation des Kontrastmittels (geschüttelte Kochsalz-Lösung); (B): Passage der Microbubbles durch den rechten Vorhof und rechten Ventrikel; (C): Sichtbarwerden der Microbubbles im linken Vorhof und linken Ventrikel, 6 Herzschläge nach der Passage durch den rechten Vorhof/rechten Ventrikel.


Keywords: EchokardiographieHepatologieHepatopulmonales SyndromHPS
 
 
 
copyright © 2000–2026 Krause & Pachernegg GmbH | Sitemap | Datenschutz | Impressum
 
Werbung