Krause und Pachernegg
Verlag für Medizin und Wirtschaft
Artikel   Bilder   Volltext

Mobile Version
A-  |   A  |   A+
Werbung
 
Abbildungen und Graphiken
Sommer OJ  
Radiofrequenzablation von Lebertumoren: Indikationen und Zukunftsperspektiven

Journal für Gastroenterologische und Hepatologische Erkrankungen 2004; 2 (4): 29-34

Volltext (PDF)    Summary    Abbildungen   


Abbildung
 
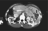
Radiofrequenzablation - Tumor
Abbildung 1: Axiale CT-Schicht ohne KM. CT-gezielte Plazierung einer Schirmelektrode im expandierten Zustand (Pfeil).


Keywords: ComputertomographieCTHepatologieTumor
 
 
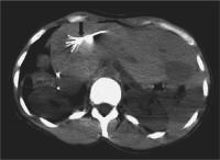
Radiofrequenzablation - Tumor
Abbildung 2: Axiale CT-Schicht nach i.v. KM-Gabe in der frühen portalvenösen Phase. Unmittelbar nach RFA Darstellung kleiner Gasbläschen und eines Perfusionsdefektes, der Nekrose entsprechend (dicker Pfeil). Der ablatierte Stichkanal ist gut zu erkennen (dünner Pfeil).


Keywords: ComputertomographieCTHepatologieTumor
 
 
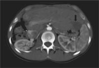
Radiofrequenzablation - Tumor
Abbildung 3: Gleicher Patient wie in Abb. 2. Axiale CT-Schicht nach i.v. KM-Gabe in der portalvenösen Phase. Gewebsnekrose 12 Monate nach RFA eines Hepatoms (Pfeil). Kein Rezidiv.


Keywords: ComputertomographieCTGewebsnekroseHepatologieHepatom
 
 
 
copyright © 2000–2026 Krause & Pachernegg GmbH | Sitemap | Datenschutz | Impressum
 
Werbung