Verlag für Medizin und Wirtschaft
Artikel
Bilder
Volltext
Mobile Version
A-
|
A
|
A+
Werbung
Abo
Bestellung Jahresabonnement (Print/elektronisch)
Bestellung kostenloses e-Journal-Abo
Mediadaten
Journale
News
Datenbanken
Suche Medizinische Publikationen
Suche Abbildungen und Grafiken
Medizinprodukte - Labortechnik
Antidotarium (Stand 2012)
Phytokodex (Stand 2012)
Fortbildung
Bücher
Fachbücher
Patientenliteratur
Impressum
Offenlegung
Kontakt
Disclaimers & Copyright
Allgemeine Geschäftsbedingungen
Datenschutzerklärung
Sitemap
Abbildungen und Graphiken
Al-Nakkash A et al.
Ungewähnlicher Verlauf einer Protheseninfektion mit erfolgreicher In-situ-Rekonstruktion und plastischer Deckung
Zeitschrift für Gefäßmedizin 2008; 5 (2)
: 20-22
Volltext (PDF)
Praxisrelevanz
Abbildungen
Abbildung
Vollbildansicht
Operationssitus
Abbildung 1: Aufnahme Befund (pulsierender Leistentumor)
Keywords:
Foto
,
Gefäßchirurgie
,
Gefäßmedizin
,
Leistentumor
,
Phlebologie
Vollbildansicht
Operationssitus
Abbildung 2: CT-Angio (Ausriss der aorto-bifemoralen Anastomosen)
Keywords:
CT-Angio
,
Gefäßchirurgie
,
Gefäßmedizin
,
Phlebologie
Vollbildansicht
Operationssitus
Abbildung 3: Primäre Versorgung mit uniiliakalem Stent und Crossover-Bypass
Keywords:
Gefäßchirurgie
,
Gefäßmedizin
,
Nahtaneurysma
,
Phlebologie
Vollbildansicht
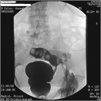
Fistelnachweis
Abbildung 4: Kontrastmitteleinlauf mit Fistelnachweis zur linken Leiste
Keywords:
Angiographie
,
Gefäßchirurgie
,
Gefäßmedizin
,
Kontrastmittel
,
Phlebologie
,
Sigma
Vollbildansicht
Operationssitus
Abbildung 5: Fistelresektion, Sigmaresektion
Keywords:
Fistel
,
Foto
,
Gefäßchirurgie
,
Gefäßmedizin
,
Phlebologie
,
Sigma
Vollbildansicht
Bypass
Abbildung 6: Freiliegender Bypass
Keywords:
Bypass
,
Foto
,
Gefäßchirurgie
,
Gefäßmedizin
,
Phlebologie
Vollbildansicht
Operationssitus
Abbildung 7: Versorgung mit Schwenklappenplastik
Keywords:
Foto
,
Gefäßchirurgie
,
Gefäßmedizin
,
Phlebologie
,
Schwenklappenplastik
copyright © 2000–2026
Krause & Pachernegg GmbH
|
Sitemap
|
Datenschutz
|
Impressum
Werbung