Verlag für Medizin und Wirtschaft
Artikel
Bilder
Volltext
Mobile Version
A-
|
A
|
A+
Werbung
Abo
Bestellung Jahresabonnement (Print/elektronisch)
Bestellung kostenloses e-Journal-Abo
Mediadaten
Journale
News
Datenbanken
Suche Medizinische Publikationen
Suche Abbildungen und Grafiken
Medizinprodukte - Labortechnik
Antidotarium (Stand 2012)
Phytokodex (Stand 2012)
Fortbildung
Bücher
Fachbücher
Patientenliteratur
Impressum
Offenlegung
Kontakt
Disclaimers & Copyright
Allgemeine Geschäftsbedingungen
Datenschutzerklärung
Sitemap
Abbildungen und Graphiken
Künzel KH et al.
Schulterprothetik - rehabilitationsrelevante Aspekte
Journal für Mineralstoffwechsel & Muskuloskelettale Erkrankungen 2008; 15 (Sonderheft 1)
: 12-16
Volltext (PDF)
Abbildungen
Abbildung
Vollbildansicht
Schultergelenk
Abbildung 1: Frontalschnitt durch das Schultergelenk zeigt das "Missverhältnis" der Gelenkskörper.
Keywords:
Foto
,
Mineralstoffwechsel
,
Schultergelenk
Vollbildansicht
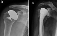
Prothese
Abbildung 2: Hemiprothese, Totalprothese
Keywords:
Mineralstoffwechsel
,
Prothese
,
Röntgenbild
,
Schultergelenk
Vollbildansicht
Prothese
Abbildung 3: Inverse Prothese
Keywords:
Mineralstoffwechsel
,
Prothese
,
Röntgenbild
,
Schultergelenk
Vollbildansicht
Prothese
Abbildung 4: Frakturprothese, Tubercula nicht eingeheilt
Keywords:
Mineralstoffwechsel
,
Prothese
,
Röntgenbild
,
Schultergelenk
copyright © 2000–2026
Krause & Pachernegg GmbH
|
Sitemap
|
Datenschutz
|
Impressum
Werbung