Krause und Pachernegg
Verlag für Medizin und Wirtschaft
Artikel   Bilder   Volltext

Mobile Version
A-  |   A  |   A+
Werbung
 
Abbildungen und Graphiken
Fortbildungsunterlagen von Univ.-Prof. Dr. Kinga Chalubinski
Auffälligkeiten der Plazenta




Abbildung
 
Univ.-Prof. Dr. Kinga Chalubinski, Universitätsfrauenklinik AKH Wien, Währinger Gürtel 18-20, 1090 Wien
Abbildung 0


 
 
Vorliegende Nabelschnur
Abbildung 1


Keywords: FruchtblasenprolapsFrühgeburtNabelschnurvorfall
 
 
Vasa Prävia
Abbildung 2


Keywords: Blutungtiefer PlazentasitzVasa Prävia
 
 
Nabelschnurumschlingung
Abbildung 3


Keywords: FarbdopplerMangelversorgungNabelschnurumschlingung
 
 
Nabelschnurumschlingung
Abbildung 4


Keywords: FarbdopplerMangelversorgungNabelschnurumschlingung
 
 
Nabelschnur - Insertion velamentosa
Abbildung 5


Keywords: Insertio velamentosaNabelschnuransatz
 
 
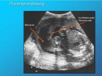
Plazentarandlösung
Abbildung 6


Keywords: BlutungPlazentalösung
 
 
Plazentarandlösung
Abbildung 7


Keywords: BlutungPlazentalösung
 
 
Plazenta am Uterusseptum (partiell)
Abbildung 8


Keywords: PlazentalokalisationUtersuseptum
 
 
Intrauterine Plazentareste
Abbildung 9


Keywords: BlutungFarbdopplerPlazentaretentionResiduenWochenbett
 
 
Intrauterine Plazentareste
Abbildung 10


Keywords: BlutungFarbdopplerPlazentaResiduenWochenbett
 
 
Postpartale Endometritis
Abbildung 11


Keywords: CavumechoEndometritisFarbdopplerWochenbett
 
 
Plazenta percreta - Zervix uteri
Abbildung 12


Keywords: BlutungFarbdopplerPlazenta percreta
 
 
Chorangiom
Abbildung 13


Keywords: ChorangiomFarbdopplerPlazenta-Tumor
 
 
Chorangiom
Abbildung 14


Keywords: ChorangiomFarbdopplerPlazenta-Tumor
 
 
 
copyright © 2000–2026 Krause & Pachernegg GmbH | Sitemap | Datenschutz | Impressum
 
Werbung