Chochole M, Wlk MV Ellbogen- und Handgelenksendoprothetik beim Rheumatiker - Richtlinien und Rehabilitation Journal für Mineralstoffwechsel & Muskuloskelettale Erkrankungen 2008; 15 (Sonderheft 1): 17-22 Volltext (PDF) Summary Übersicht | ||||
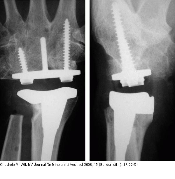
Abbildung 2: Prothese Postoperative Röntgenkontrolle nach Universal®-Handgelenksendoprothese Integra. |
Abbildung 2: Prothese
Postoperative Röntgenkontrolle nach Universal®-Handgelenksendoprothese Integra. |
