Wallner H Fallbericht: Perkutane transpopliteale retrograde Rekanalisation der A. femoralis superficialis Zeitschrift für Gefäßmedizin 2008; 5 (3): 26-27 Volltext (PDF) Fallbeschreibung Übersicht
| ||||||||||
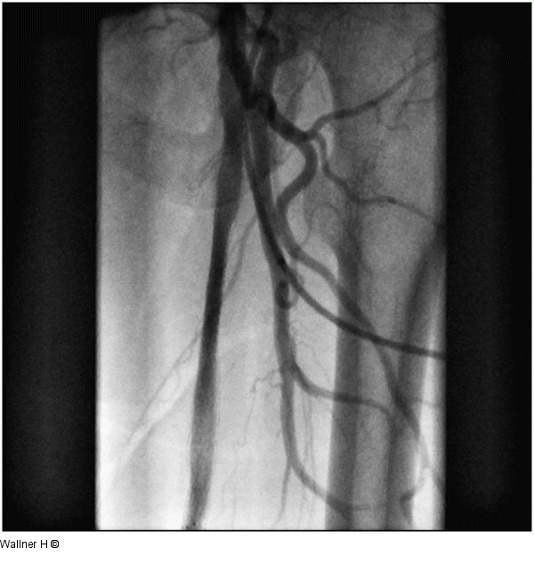
Abbildung 5: Perkutane transpopliteale retrograde Rekanalisation Wiedereröffnete A. femoralis communis nach Stentimplantation. |
Film starten
Abbildung 5: Perkutane transpopliteale retrograde Rekanalisation
Wiedereröffnete A. femoralis communis nach Stentimplantation. |
