Schima W Aktuelle Bilder: Klatsin-Tumor: perkutane CT-gezielte Biopsie zur Diagnosestellung Journal für Gastroenterologische und Hepatologische Erkrankungen 2008; 6 (4): 33 Volltext (PDF) Übersicht | ||||||
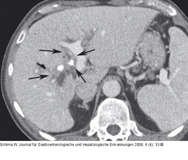
Abbildung 1a: Hypodenser Tumor Die MDCT zeigt einen hypodensen Tumor am Hilus, der entlang der Pfortaderbifurkation wächst (Pfeile) und zu einer Cholangiektasie führt. Zwei Gallengangstents in situ. |
Abbildung 1a: Hypodenser Tumor
Die MDCT zeigt einen hypodensen Tumor am Hilus, der entlang der Pfortaderbifurkation wächst (Pfeile) und zu einer Cholangiektasie führt. Zwei Gallengangstents in situ. |
