Grohs JG Minimal-invasive Stabilisierung osteoporotischer Wirbelkörpereinbrüche Journal für Mineralstoffwechsel & Muskuloskelettale Erkrankungen 2003; 10 (4): 7-12 Volltext (PDF) Summary Übersicht | ||||||||||||||||
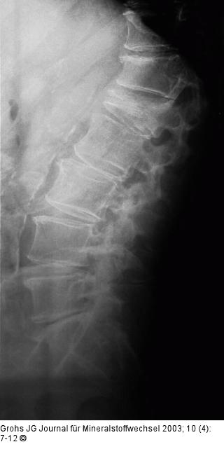
Abbildung 1: Osteoporotische Wirbelkörperfraktur Typische osteoporotische Wirbelkörperfraktur L1 (geringer auch Th12) mit keilförmiger Deformität und Verminderung der Wirbelkörperhöhe. |
Abbildung 1: Osteoporotische Wirbelkörperfraktur
Typische osteoporotische Wirbelkörperfraktur L1 (geringer auch Th12) mit keilförmiger Deformität und Verminderung der Wirbelkörperhöhe. |
