Kreuzer G, Dirisamer A, Ferlitsch A, Götzinger P, Püspök A Der endoskopische Fall: Eine 86jährige Frau mit abdominellen Schmerzen und Erbrechen Journal für Gastroenterologische und Hepatologische Erkrankungen 2003; 1 (2): 25-26 Volltext (PDF) Übersicht | ||||||||||
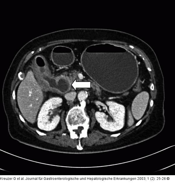
Abbildung 4: CT- Cholezystis CT: Cholezystojejunale Fistel (Pfeil). |
