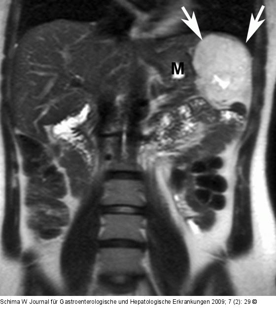
Schima W Aktuelle Bilder: Impression des Magens durch ein großes Hämangiom des linken Leberlappens Journal für Gastroenterologische und Hepatologische Erkrankungen 2009; 7 (2): 29 Volltext (PDF) Übersicht | ||||||
Abbildung 2: Hämangiom Die MRT in koronaler Schichtführung zeigt das typische Signalverhalten eines Hämangioms (Pfeile). Magen (M). |
Abbildung 2: Hämangiom
Die MRT in koronaler Schichtführung zeigt das typische Signalverhalten eines Hämangioms (Pfeile). Magen (M). |
