Schillinger M Fallbericht: Outback-Reentry-Katheter zur Rekanalisation eines langstreckigen Femoralis-Verschlusses - ein Fallbericht Zeitschrift für Gefäßmedizin 2009; 6 (3): 43-45 Volltext (PDF) Übersicht | ||||||||||||||||
Abbildung 3: Arteria poplitea Abstrom über die Arteria poplitea und ein Unterschenkelgefäß. |
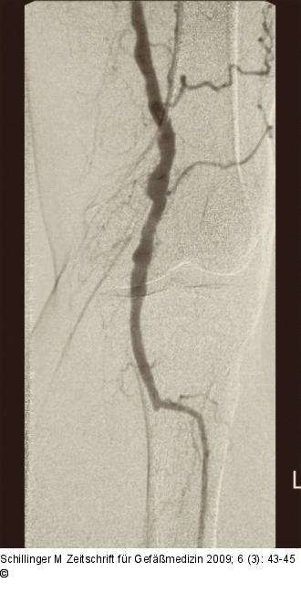
Abbildung 3: Arteria poplitea
Abstrom über die Arteria poplitea und ein Unterschenkelgefäß. |
