Mang T, Schima W Inkomplette Koloskopie: Diagnose eines Lipoms mittels CT-Kolonographie Journal für Gastroenterologische und Hepatologische Erkrankungen 2010; 8 (3): 49-50 Volltext (PDF) Übersicht | ||||||
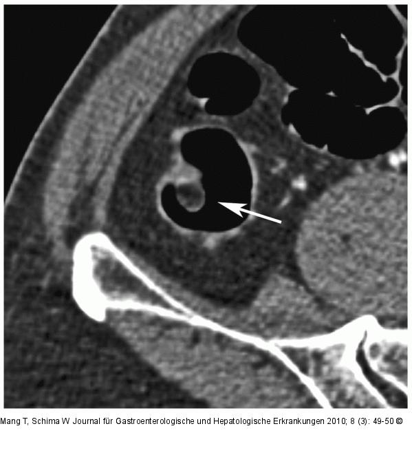
Abbildung 1b: 2D-Bild Das axiale 2D-Bild zeigt die homogene fettäquivalente Dichte (Grauwert entspricht dem subkutanen Fettgewebe) der polypoiden Läsion im Colon ascendens |
Abbildung 1b: 2D-Bild
Das axiale 2D-Bild zeigt die homogene fettäquivalente Dichte (Grauwert entspricht dem subkutanen Fettgewebe) der polypoiden Läsion im Colon ascendens |
