Schillinger M Karotisstenting 2010 - Ist eine breite Indikationsstellung gerechtfertigt? Diskussion anhand zweier Fallberichte Zeitschrift für Gefäßmedizin 2010; 7 (4): 20-22 Volltext (PDF) Übersicht | ||||||||||||
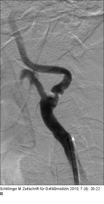
Abbildung 4: Karotisstenose Fall 2: Angiographie der hochgradigen, asymptomatischen Karotisstenose. |
Abbildung 4: Karotisstenose
Fall 2: Angiographie der hochgradigen, asymptomatischen Karotisstenose. |
