Schima W Aktuelle Bilder: Leberzelladenom und rezidivierende Pankreatitis bei Glykogenose Typ 1B Journal für Gastroenterologische und Hepatologische Erkrankungen 2011; 9 (1): 26 Volltext (PDF) Übersicht | ||||||
Abbildung 1b: Leberadenom Man erkennt eine Auftreibung des Pankreaskopfes (weiße Pfeile) mit einer umschriebenen Nekrose (Pfeilspitze). |
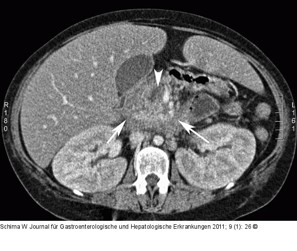
Abbildung 1b: Leberadenom
Man erkennt eine Auftreibung des Pankreaskopfes (weiße Pfeile) mit einer umschriebenen Nekrose (Pfeilspitze). |
