Pfister D, van Erps T, Heidenreich A Palliative radikale (Zysto-) Prostatektomie bei lokal fortgeschrittenem kastrationsresistentem Prostatakarzinom (KRPCA) Journal für Urologie und Urogynäkologie 2011; 18 (2) (Ausgabe für Österreich): 14-16 Journal für Urologie und Urogynäkologie 2011; 18 (2) (Ausgabe für Schweiz): 14-16 Volltext (PDF) Summary Praxisrelevanz Übersicht | ||||
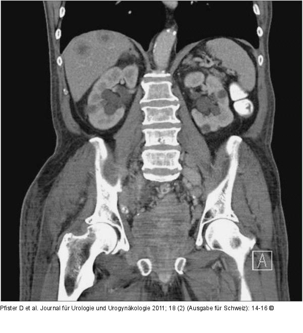
Abbildung 2: Subileus Subileus mit Harnstauung, Lymphödem und Schmerzen rechtes Bein (Versorgung mit Ureterokutaneostomie bds.) |
Abbildung 2: Subileus
Subileus mit Harnstauung, Lymphödem und Schmerzen rechtes Bein (Versorgung mit Ureterokutaneostomie bds.) |
