Verlag für Medizin und Wirtschaft
Artikel
Bilder
Volltext
Mobile Version
A-
|
A
|
A+
Werbung
Abo
Bestellung Jahresabonnement (Print/elektronisch)
Bestellung kostenloses e-Journal-Abo
Mediadaten
Journale
News
Datenbanken
Suche Medizinische Publikationen
Suche Abbildungen und Grafiken
Medizinprodukte - Labortechnik
Antidotarium (Stand 2012)
Phytokodex (Stand 2012)
Fortbildung
Bücher
Fachbücher
Patientenliteratur
Impressum
Offenlegung
Kontakt
Disclaimers & Copyright
Allgemeine Geschäftsbedingungen
Datenschutzerklärung
Sitemap
Berghoff A, Furtner J, Wöhrer A, Gatterbauer B, Dieckmann K, Preusser M
Management of Brain Metastases: A Case Study
European Association of NeuroOncology Magazine 2011; 1 (1)
: 33-34
PDF
Overview
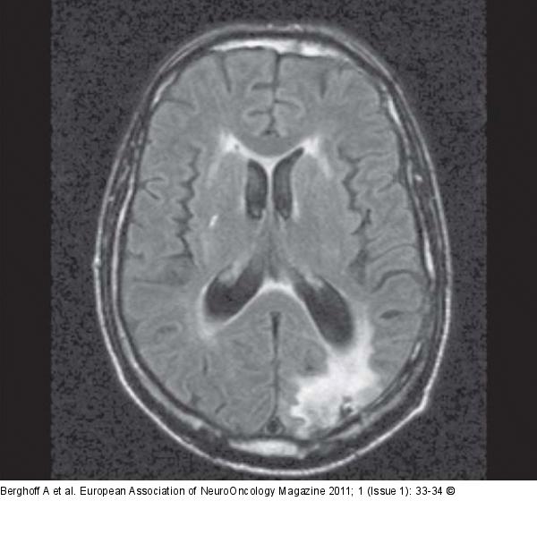
Figure/Graphic 4: FLAIR-MRI
Axial FLAIR-MRI
Previous Image
Next Image
Figure/Graphic 4: FLAIR-MRI
Axial FLAIR-MRI
copyright © 2000–2026
Krause & Pachernegg GmbH
|
Sitemap
|
Datenschutz
|
Impressum