Reiter E Muzinöse Appendixtumoren und Pseudomyxoma peritonei: Ein aktueller Überblick Interdisziplinäre Onkologie 2012; 4 (2): 7-11 Volltext (PDF) Summary Praxisrelevanz Übersicht | ||||||||||
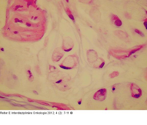
Abbildung 5: Pseudomyxoma peritonei Hochgradiges Pseudomyxoma peritonei: Schleimsee mit eingelagerten Siegelringzellen. |
Abbildung 5: Pseudomyxoma peritonei
Hochgradiges Pseudomyxoma peritonei: Schleimsee mit eingelagerten Siegelringzellen. |
