Gary T, Belaj K, Brodmann M Fallbericht: TVT - Ist der Kompressionsultraschall immer ausreichend? Zeitschrift für Gefäßmedizin 2012; 9 (2): 16-17 Volltext (PDF) Übersicht | ||||
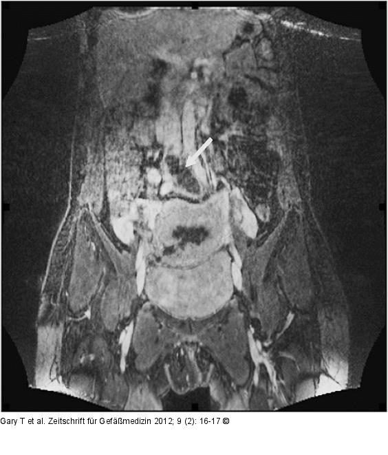
Abbildung 1: VCI - Thrombose Thrombose der VCI in der linken Beckenetage fortgesetzt. |
Abbildung 1: VCI - Thrombose
Thrombose der VCI in der linken Beckenetage fortgesetzt. |
