Hoetzenecker K, Klepetko W Pancoast-Tumoren Interdisziplinäre Onkologie 2013; 5 (1): 37-40 Volltext (PDF) Summary Praxisrelevanz Übersicht | ||||||||||||
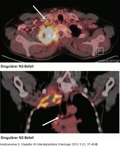
Abbildung 5: N3-Lymphknoten Diese beiden PET-CT-Bilder verdeutlichen die Wertigkeit eines befallenen lokoregionalen N3-Lymphknotens einerseits und eines subkarinalen Lymphknotens andererseits. |
Abbildung 5: N3-Lymphknoten
Diese beiden PET-CT-Bilder verdeutlichen die Wertigkeit eines befallenen lokoregionalen N3-Lymphknotens einerseits und eines subkarinalen Lymphknotens andererseits. |
