Meier M Hydrozele und Spermatozele Journal für Urologie und Urogynäkologie 2013; 20 (1) (Ausgabe für Schweiz): 13-14 Journal für Urologie und Urogynäkologie 2013; 20 (1) (Ausgabe für Österreich): 14-15 Volltext (PDF) Übersicht | ||||
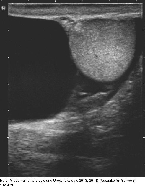
Abbildung 1: Hydrozele Sonographische Darstellung einer Hydrozele |
