Wallner H Supragenualer retrograder Zugang bei chronischen Verschlüssen der Arteria femoralis superficialis nach frustraner antegrader Angioplastie Zeitschrift für Gefäßmedizin 2013; 10 (1): 10-12 Volltext (PDF) Praxisrelevanz Übersicht
| ||||||||||
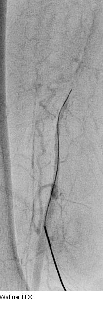
Abbildung 2a-c: Punktion - Arteria femoralis superficialis Erfolgreiche Punktion der distalen Art. femoralis superficialis rechts. |
Abbildung 2a
Abbildung 2b
Abbildung 2c
Abbildung 2a-c: Punktion - Arteria femoralis superficialis
Erfolgreiche Punktion der distalen Art. femoralis superficialis rechts. |
