Koch D, Proß U, Dworak O, Blana A Maligne Lymphome in der Urologie – 2 Fallberichte Tumorboard 2013; 2 (1): 10-13 Volltext (PDF) Übersicht | ||||||
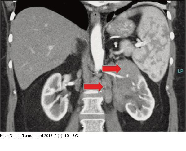
Abbildung 1: Lymphom Raumforderung der li. Niere (oberer Pfeil) und ein paraaortales Lymphom (unterer Pfeil) |
Abbildung 1: Lymphom
Raumforderung der li. Niere (oberer Pfeil) und ein paraaortales Lymphom (unterer Pfeil) |
