Schima W, Vormittag L, Öhler L, Braun O, Kapiotis St Skelettmetastasen: Probleme in der bildgebenden Diagnostik an Hand eines Patienten mit kolorektalem Karzinom Tumorboard 2013; 2 (1): 23-26 Volltext (PDF) Übersicht | ||||||||||||
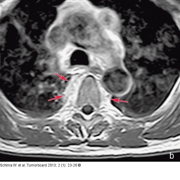
Abbildung 2a-b: Skelettmetastasen MRT der BWS: (a) Es finden sich in der STIR-Sequenz Veränderungen in der Bandscheibe Th 4/5 und ein ausgeprägtes Ödem in den angrenzenden Wirbel Th 4 und 5. (b) Die Kontrastmittelverstärkte Sequenz zeigt einen paravertralen Weichteilanteil (Pfeile), was auch typisch für eine Spondylodiszitis ist |
Abbildung 2a
Abbildung 2b
Abbildung 2a-b: Skelettmetastasen
MRT der BWS: (a) Es finden sich in der STIR-Sequenz Veränderungen in der Bandscheibe Th 4/5 und ein ausgeprägtes Ödem in den angrenzenden Wirbel Th 4 und 5. (b) Die Kontrastmittelverstärkte Sequenz zeigt einen paravertralen Weichteilanteil (Pfeile), was auch typisch für eine Spondylodiszitis ist |
