Harler U, Manninger-Wünscher M, Zweiker R Fallbericht: Nierenarterienstenose bei geplanter CABG: Therapeutische Strategien Journal für Hypertonie - Austrian Journal of Hypertension 2013; 17 (2): 65-68 Volltext (PDF) Übersicht | ||||
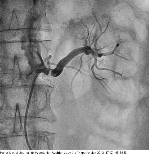
Abbildung 1: Nierenarterienstenose Präinterventionelle hochgradige Stenose (> 90 %) der linken Nierenarterie. |
Abbildung 1: Nierenarterienstenose
Präinterventionelle hochgradige Stenose (> 90 %) der linken Nierenarterie. |
