Polster B, Mustak M Rheumapatienten im OP und auf der Intensivstation: Worauf muss geachtet werden? Journal für Mineralstoffwechsel & Muskuloskelettale Erkrankungen 2013; 20 (3): 102-107 Volltext (PDF) Summary Praxisrelevanz Übersicht | ||||||||
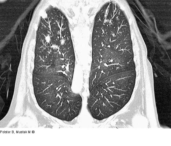
Abbildung 4: Rheumapatienten im OP Kleinherdige Aspergillose (chronische karnifizierende Pneumocystis jirovecii und Aspergillus-Spezies), zusätzlich frischere bakterielle Pneumonie mit Lungenabszessen und nachgewiesener Staph.-aureus-Besiedelung. Bild: KFJ - Zentralröntgeninstitut; CT der Lunge. |
Abbildung 4: Rheumapatienten im OP
Kleinherdige Aspergillose (chronische karnifizierende Pneumocystis jirovecii und Aspergillus-Spezies), zusätzlich frischere bakterielle Pneumonie mit Lungenabszessen und nachgewiesener Staph.-aureus-Besiedelung. Bild: KFJ - Zentralröntgeninstitut; CT der Lunge. |
