Brezinka C Tipps und Tricks im Gyn-Ultraschall: Sonographische Kennzeichen des Corpus luteum Journal für Gynäkologische Endokrinologie 2013; 7 (4) (Ausgabe für Österreich): 24-26 Journal für Gynäkologische Endokrinologie 2013; 7 (4) (Ausgabe für Schweiz): 28-30 Volltext (PDF) Übersicht | ||||||||||||
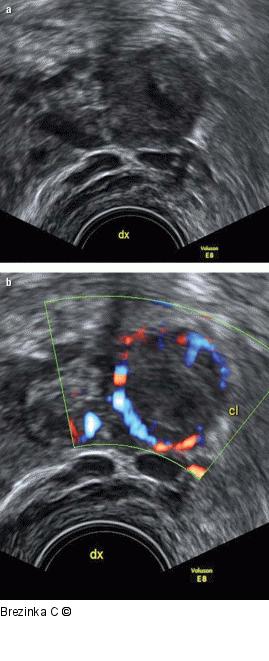
Abbildung 1a-b: Gyn-Ultraschall Ein unspektakuläres Corpus luteum (a) wird durch den „ring of fire“ im Farbdoppler zu einer markanten Struktur und einer einfachen Diagnose (b). |
Abbildung 1a-b: Gyn-Ultraschall
Ein unspektakuläres Corpus luteum (a) wird durch den „ring of fire“ im Farbdoppler zu einer markanten Struktur und einer einfachen Diagnose (b). |
