Zacherl J, Hölbling N, Albinni S, Brodowicz T, Dolak W, Bader T, Wrba F Submukosaler Tumor (SMT) des Rektums – Ein Fallbericht aus dem Tumorboard Tumorboard 2014; 3 (1): 10-12 Volltext (PDF) Übersicht | ||||||||||||||||
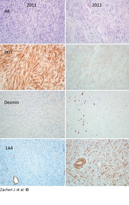
Abbildung 7: Submukosaler Tumor Immunhistochemie im Vergleich 2011 und 2012 |
Abbildung 7: Submukosaler Tumor
Immunhistochemie im Vergleich 2011 und 2012 |
