Mayer-Pickel K, Benedicic C, Lang U, Tamussino K, Petru E Metastasiertes Magenkarzinom in der Schwangerschaft – ein Fallbericht Tumorboard 2014; 3 (1): 19-20 Volltext (PDF) Summary Übersicht | ||||||
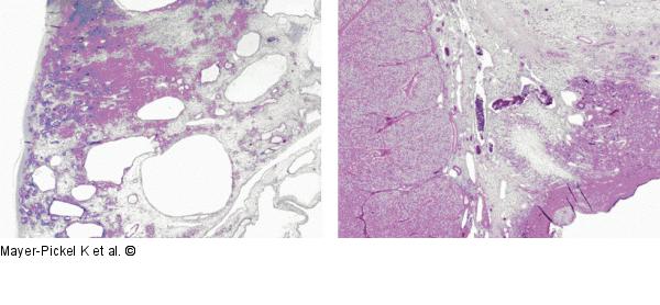
Abbildung 2a-b: Krukenberg-Tumor Krukenberg-Tumor des rechten Ovars, ausgehend von einem niedrig differenzierten Adenokarzinom |
Abbildung 2a-b: Krukenberg-Tumor
Krukenberg-Tumor des rechten Ovars, ausgehend von einem niedrig differenzierten Adenokarzinom |
