Stift J, Dienes HP Leberbiopsie nach Transplantation Journal für Gastroenterologische und Hepatologische Erkrankungen 2014; 12 (2): 18-25 Volltext (PDF) Summary Praxisrelevanz Fragen zum Artikel Übersicht | ||||||
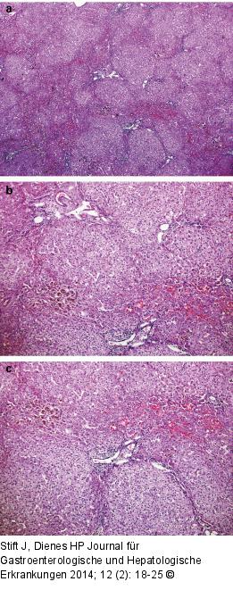
Abbildung 2a-c: Transplantatabstoßung Chronische Abstoßung (Spätform): (a) Zirrhotisch umgebautes Leberparenchym, (b) Cholestase, (c) Verlust der Gallengänge. |
Abbildung 2a-c: Transplantatabstoßung
Chronische Abstoßung (Spätform): (a) Zirrhotisch umgebautes Leberparenchym, (b) Cholestase, (c) Verlust der Gallengänge. |
