Schima W, Winkler T Aktuelle Bilder: Intrapankreatische Nebenmilz imitiert neuroendokrinen Tumor des Pankreas Journal für Gastroenterologische und Hepatologische Erkrankungen 2015; 13 (1): 28-29 Volltext (PDF) Übersicht | ||||||||
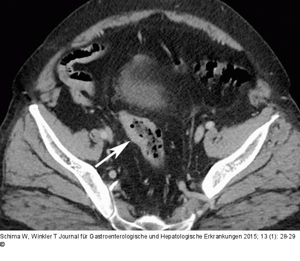
Abbildung 1a: Intrapankreatische Nebenmilz Die axiale KM-verstärkte MDCT zum Staging zeigt eine Wandverdickung des C. sigmoideum, dem bekannten Adenokarzinom entsprechend (Pfeil). |
Abbildung 1a: Intrapankreatische Nebenmilz
Die axiale KM-verstärkte MDCT zum Staging zeigt eine Wandverdickung des C. sigmoideum, dem bekannten Adenokarzinom entsprechend (Pfeil). |
