Grillitsch M, Häusler M, Koidl C, Karpf E, Kurath-Koller S, Resch B Schwere kongenitale Zytomegalieinfektion durch frühe Virusreaktivierung in der Schwangerschaft Speculum - Zeitschrift für Gynäkologie und Geburtshilfe 2015; 33 (4) (Ausgabe für Österreich): 20-23 Volltext (PDF) Übersicht | ||||||||||
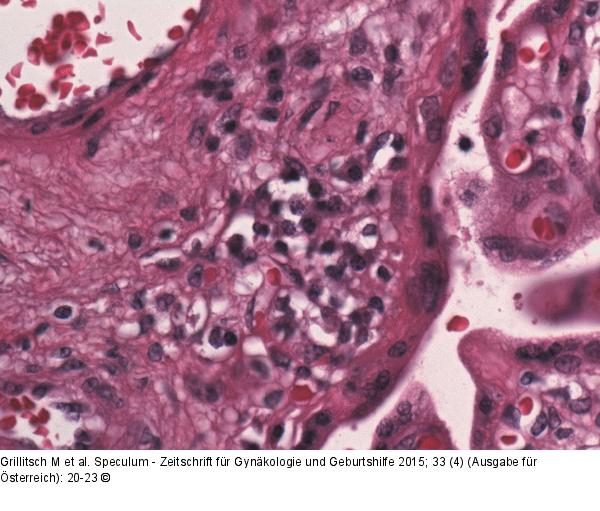
Abbildung 3: Histopathologie-Plazenta Histopathologie der Plazenta mit lymphoplasmazellulärer Villitis (600×Vergrößerung). |
Abbildung 3: Histopathologie-Plazenta
Histopathologie der Plazenta mit lymphoplasmazellulärer Villitis (600×Vergrößerung). |
