Tramontana A Die Mädchensprechstunde: Uterusanomalien – Ein Fallbericht aus der Praxis Journal für Gynäkologische Endokrinologie 2016; 10 (2) (Ausgabe für Österreich): 20-23 Volltext (PDF) Übersicht | ||||||||||
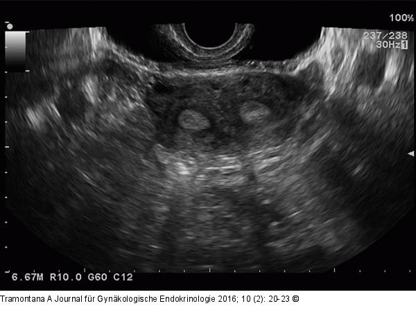
Abbildung 3: Uterus subseptus Sonographische Darstellung des Katzenaugenphänomens. |
Abbildung 3: Uterus subseptus
Sonographische Darstellung des Katzenaugenphänomens. |
