Schienle S, Kruse AB, Ratka-Krüger P Parodontitis und ihre Bedeutung für Fertilität und Frühgeburten // Infectious Periodontitis and its Importance for Fertility, Miscarriages and Premature Births Journal für Reproduktionsmedizin und Endokrinologie - Journal of Reproductive Medicine and Endocrinology 2017; 14 (1): 14-18 Volltext (PDF) Volltext (HTML) Summary Praxisrelevanz Übersicht | ||
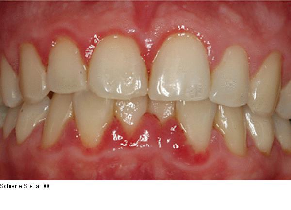
Abbildung 1: Schwangerschaftsgingivitis Schwangerschaftsgingivitis in der 17. SSW. Quelle: Universitätsklinikum Freiburg, Department für Zahn-, Mund- und Kieferheilkunde, Klinik für Zahnerhaltungskunde und Parodontologie |
Abbildung 1: Schwangerschaftsgingivitis
Schwangerschaftsgingivitis in der 17. SSW. Quelle: Universitätsklinikum Freiburg, Department für Zahn-, Mund- und Kieferheilkunde, Klinik für Zahnerhaltungskunde und Parodontologie |
