Pfabe FP Fallbericht: Interventionelle Rekanalisation eines Beckenarterienverschlusses rechts bei ipsilateraler Kuchenniere Zeitschrift für Gefäßmedizin 2017; 14 (1): 10-13 Volltext (PDF) Praxisrelevanz Übersicht | ||||||||||
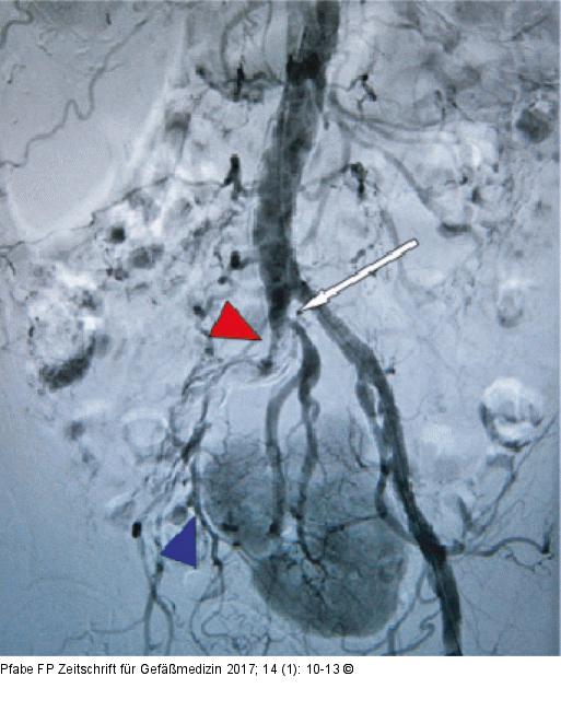
Abbildung 1: Beckenübersicht DSA-Beckenübersicht. Verschluss der A. iliaca communis rechts (roter Pfeil) und Demaskierung einer Nierenektopie mit verschlussnahem Abgang („upstream“) der Nierenarterie (weißer Pfeil), retrograde Perfusion der proximal verschlossenen A. iliaca interna (blauer Pfeil). Eine orthotope Niere kommt nicht zur Darstellung. |
Abbildung 1: Beckenübersicht
DSA-Beckenübersicht. Verschluss der A. iliaca communis rechts (roter Pfeil) und Demaskierung einer Nierenektopie mit verschlussnahem Abgang („upstream“) der Nierenarterie (weißer Pfeil), retrograde Perfusion der proximal verschlossenen A. iliaca interna (blauer Pfeil). Eine orthotope Niere kommt nicht zur Darstellung. |
