Ugurluoglu A Duplexsonographie der Aorta abdominalis und der viszeralen Arterien Duplexsonographie der Gefäße Volltext (PDF) Übersicht | ||||||||||||||||
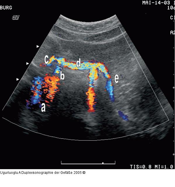
Abbildung 4: Duplexsonographie - T. coeliacus a) Aorta abdominalis, b) Truncus coeliacus, c) Arteria hepatica communis, d) Arteria lienalis, e) Arteria gastrica sinistra. Transversale Schnittführung |
Abbildung 4: Duplexsonographie - T. coeliacus
a) Aorta abdominalis, b) Truncus coeliacus, c) Arteria hepatica communis, d) Arteria lienalis, e) Arteria gastrica sinistra. Transversale Schnittführung |
