Kranewitter C, Posch L, Freund M Fallbericht: Subintimale Rekanalisation von TASC-Typ-D-Läsionen des Beckens beidseits mittels Outback™ Elite Re-Entry Katheter Zeitschrift für Gefäßmedizin 2020; 17 (3): 18-20 Volltext (PDF) Übersicht | ||||||||
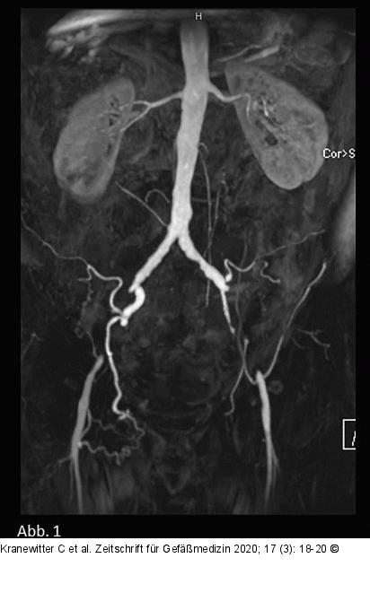
Abbildung 1: MIP - MRA Die Maximumintensitätsprojektion (MIP) der MRA zeigt einen kompletten Verschluss der AIE beidseits auf einer Länge von 6 cm rechts und 7 cm links. Die AFC beidseits regelrecht. |
Abbildung 1: MIP - MRA
Die Maximumintensitätsprojektion (MIP) der MRA zeigt einen kompletten Verschluss der AIE beidseits auf einer Länge von 6 cm rechts und 7 cm links. Die AFC beidseits regelrecht. |
