Auer J, Berent R, Eber B, Punzengruber C Pulmonary infiltrates following coronary artery stenting and abciximab therapy in a 64 year old woman Journal of Clinical and Basic Cardiology 2001; 4 (1): 83-84 PDF Summary Overview | ||||
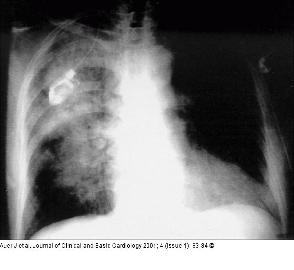
Figure/Graphic 2: Lungeninfiltrat Posterior-anterior chest radiograph ten hours after stenting and abciximab bolus showed a patchy infiltrate in the right lung |
Figure/Graphic 2: Lungeninfiltrat
Posterior-anterior chest radiograph ten hours after stenting and abciximab bolus showed a patchy infiltrate in the right lung |
